보수교육
추천: 임상병리사 선생님 모두
보수교육
추천: 임상병리사 선생님 모두
보수교육
추천: 임상병리사 선생님 모두
치매의 진단, 치료, 예방
치매의 진단, 치료, 예방
치매의 진단, 치료, 예방
치매의 진단, 치료, 예방
현대사회에서 중요한 건강 문제로 떠오르고 있는 치매를 주제로, 진단, 치료, 예방에 대한 깊이 있는 지식을 배우는 소중한 시간
현대사회에서 중요한 건강 문제로 떠오르고 있는 치매를 주제로, 진단, 치료, 예방에 대한 깊이 있는 지식을 배우는 소중한 시간
현대사회에서 중요한 건강 문제로 떠오르고 있는 치매를 주제로, 진단, 치료, 예방에 대한 깊이 있는 지식을 배우는 소중한 시간
현대사회에서 중요한 건강 문제로 떠오르고 있는 치매를 주제로, 진단, 치료, 예방에 대한 깊이 있는 지식을 배우는 소중한 시간
# 치매
# 치매
# 치매
# 고령화
# 고령화
# 고령화
# 예방
# 예방
# 예방
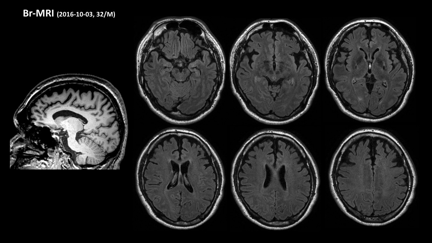
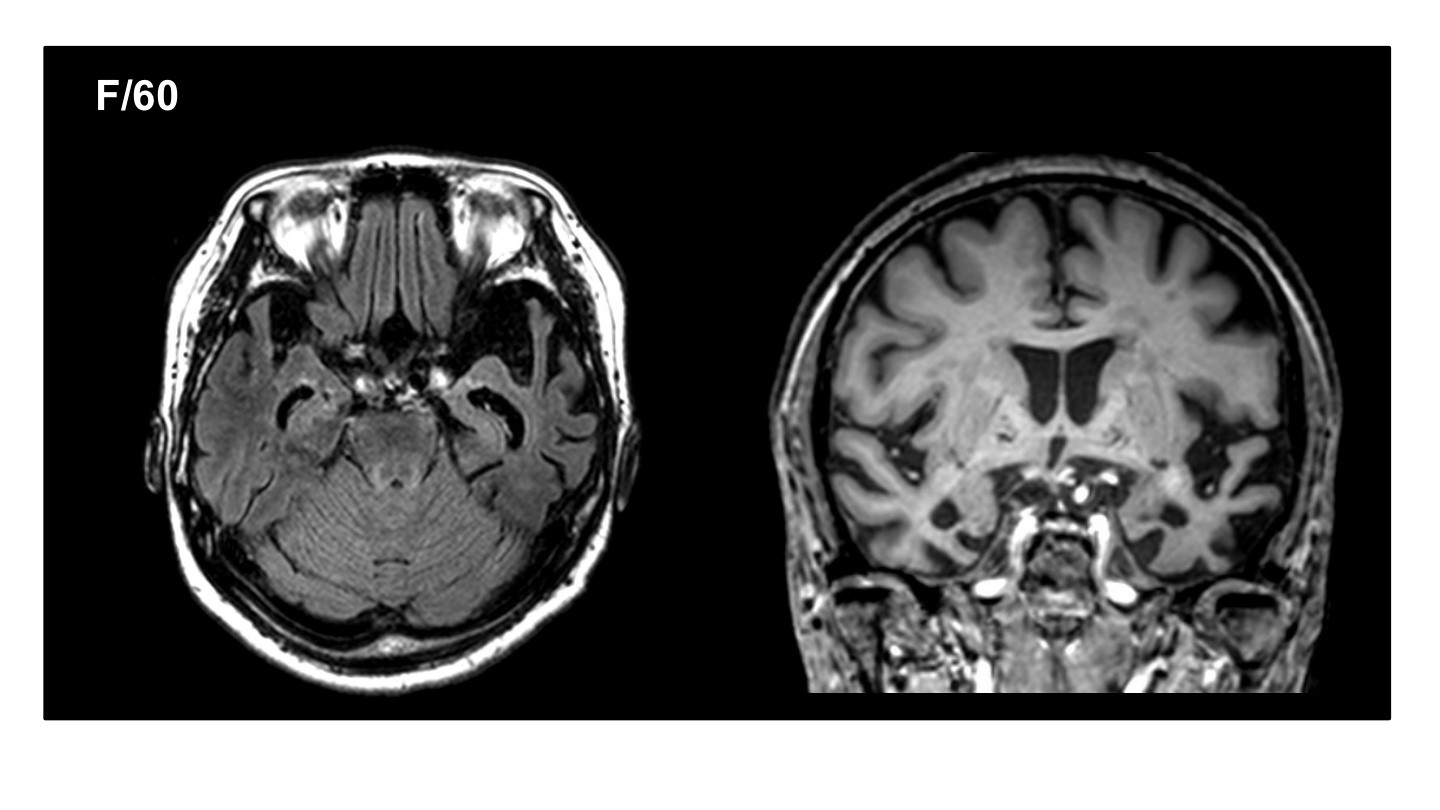
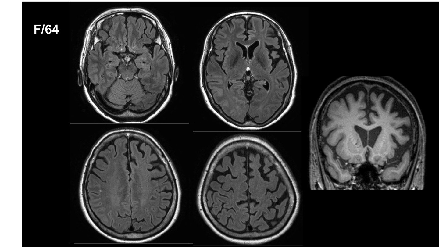
현재 삼성서울병원 신경과 교수로 재직 중이신 김준표 교수님은 신경과 레지던트, 전임의, 임상조교수로 활동하시며 대한치매학회 위원으로서 치매와 신경과학 분야에서 깊은 전문성과 풍부한 경력을 쌓아오셨습니다. 특히, SCI급 논문 55편을 게재하며 학문적 연구에도 크게 기여하셨습니다. 이번 강연에서는 치매의 진단, 치료, 예방에 대한 귀중한 통찰을 나눠주실 예정입니다.
현재 삼성서울병원 신경과 교수로 재직 중이신 김준표 교수님은 신경과 레지던트, 전임의, 임상조교수로 활동하시며 대한치매학회 위원으로서 치매와 신경과학 분야에서 깊은 전문성과 풍부한 경력을 쌓아오셨습니다. 특히, SCI급 논문 55편을 게재하며 학문적 연구에도 크게 기여하셨습니다. 이번 강연에서는 치매의 진단, 치료, 예방에 대한 귀중한 통찰을 나눠주실 예정입니다.
현재 삼성서울병원 신경과 교수로 재직 중이신 김준표 교수님은 신경과 레지던트, 전임의, 임상조교수로 활동하시며 대한치매학회 위원으로서 치매와 신경과학 분야에서 깊은 전문성과 풍부한 경력을 쌓아오셨습니다. 특히, SCI급 논문 55편을 게재하며 학문적 연구에도 크게 기여하셨습니다. 이번 강연에서는 치매의 진단, 치료, 예방에 대한 귀중한 통찰을 나눠주실 예정입니다.
현재 삼성서울병원 신경과 교수로 재직 중이신 김준표 교수님은 신경과 레지던트, 전임의, 임상조교수로 활동하시며 대한치매학회 위원으로서 치매와 신경과학 분야에서 깊은 전문성과 풍부한 경력을 쌓아오셨습니다. 특히, SCI급 논문 55편을 게재하며 학문적 연구에도 크게 기여하셨습니다. 이번 강연에서는 치매의 진단, 치료, 예방에 대한 귀중한 통찰을 나눠주실 예정입니다.






현대사회에서 치매는 우리 주변에서 점점 더 빈번하게 접할 수 있는 중요한 건강 문제로 떠오르고 있습니다. 이번 강의를 통해 치매를 진단하고, 효과적으로 치료하며, 예방할 수 있는 실질적인 방안에 대해 알아볼 수 있는 소중한 시간을 가질 수 있을 것 같습니다. 치매 분야에서 오랜 경험을 지닌 교수님의 강의를 통해 치매에 대한 더 깊은 이해와 대비책을 마련할 기회를 함께 가져보시길 바랍니다.
현대사회에서 치매는 우리 주변에서 점점 더 빈번하게 접할 수 있는 중요한 건강 문제로 떠오르고 있습니다. 이번 강의를 통해 치매를 진단하고, 효과적으로 치료하며, 예방할 수 있는 실질적인 방안에 대해 알아볼 수 있는 소중한 시간을 가질 수 있을 것 같습니다. 치매 분야에서 오랜 경험을 지닌 교수님의 강의를 통해 치매에 대한 더 깊은 이해와 대비책을 마련할 기회를 함께 가져보시길 바랍니다.
현대사회에서 치매는 우리 주변에서 점점 더 빈번하게 접할 수 있는 중요한 건강 문제로 떠오르고 있습니다. 이번 강의를 통해 치매를 진단하고, 효과적으로 치료하며, 예방할 수 있는 실질적인 방안에 대해 알아볼 수 있는 소중한 시간을 가질 수 있을 것 같습니다. 치매 분야에서 오랜 경험을 지닌 교수님의 강의를 통해 치매에 대한 더 깊은 이해와 대비책을 마련할 기회를 함께 가져보시길 바랍니다.
현대사회에서 치매는 우리 주변에서 점점 더 빈번하게 접할 수 있는 중요한 건강 문제로 떠오르고 있습니다. 이번 강의를 통해 치매를 진단하고, 효과적으로 치료하며, 예방할 수 있는 실질적인 방안에 대해 알아볼 수 있는 소중한 시간을 가질 수 있을 것 같습니다. 치매 분야에서 오랜 경험을 지닌 교수님의 강의를 통해 치매에 대한 더 깊은 이해와 대비책을 마련할 기회를 함께 가져보시길 바랍니다.
























































































































































































































































































































































































































































































































Contact us
Contact us
Contact us
여러분의 소중한 연구와 경험을 공유하여 임상병리사의 발전에 함께 기여해 주시길 바랍니다.
발표를 희망하시는 회원분께서는 언제든지 서울시 협회 학술부서로 연락주십시오.
여러분의 소중한 연구와 경험을 공유하여 임상병리사의 발전에 함께 기여해 주시길 바랍니다. 발표를 희망하시는 회원분께서는 언제든지 서울시 협회 학술부서로 연락주십시오.
여러분의 소중한 연구와 경험을 공유하여 임상병리사의 발전에 함께 기여해 주시길 바랍니다. 발표를 희망하시는 회원분께서는 언제든지 서울시 협회 학술부서로 연락주십시오.
여러분의 소중한 연구와 경험을 공유하여 임상병리사의 발전에 함께 기여해 주시길 바랍니다.
발표를 희망하시는 회원분께서는 언제든지 서울시 협회 학술부서로 연락주십시오.